Salúd

Limpiarte los oídos con cotonetes podría provocarte una infección cerebral

Limpiarte los oídos con cotonetes podría causarte un gran daño. Así lo indica la revista médica BMJ Case Reports, que recientemente publicó el caso de un hombre de 31 años que por el uso reiterado de estos objetos terminó con una grave infección en el tejido que rodea el cerebro.

Según publicó la revista, el hombre llegó al hospital con convulsiones y estuvo a punto de sufrir un colapso. Los primeros exámenes físicos que le realizaron, mostraron que el paciente presentaba confusión, adormecimiento y un estado alterado de conciencia.

El sujeto indicó a los médicos que en días anteriores presentó dolores de cabeza y dificultad para recordar nombres.

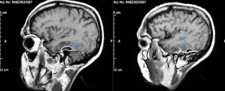
Lo más inquietante fue que el hombre relató que durante cinco años padeció un dolor intermitente en el oído izquierdo y estaba perdiendo la audición. Cuando los médicos realizaron una tomografía, encontraron en el paciente abscesos en el tejido que rodeaba su cerebro.

googletag.cmd.push(function() { googletag.display("div-gpt-ad-1571779814198-0"); });

La bacteria culpable de la infección fue la Pseudomonas aeruginosa, un patógeno que causa todo tipo de enfermedades y que ocasionó otitis extrerna necrotizante dañando el tejido que se encuentra en el canal auditivo externo.

Esta bacteria llegó al cráneo a través de un pedazo de algodón que formaba parte de un cotonete, el cual se había quedado atascado en la cabeza del paciente durante años.

Tras extraer el pedazo de algodón, la bacteria fue eliminada con antibióticos, lo que permitió que se resolvieran los problemas neurológicos del paciente.

Así que ahora ya lo sabes: antes de meterte algo en los oídos o limpiarlos, recuerda las complicaciones que esto te puede ocasionar.

Radio Turquesa

Radio Turquesa, Cadena Radiofónica Peninsular, transmite en vivo desde Cancún, Quintana Roo, México

Show comments